
When it comes to dental health, understanding the urgency of various conditions can make all the difference in preserving your smile. Cavities are a common dental issue, but many people are unsure whether they constitute a dental emergency. In this blog from Nashoba Valley Dental, we will explore what a cavity is, when it becomes an emergency, and how you can best address it to maintain optimal oral health.
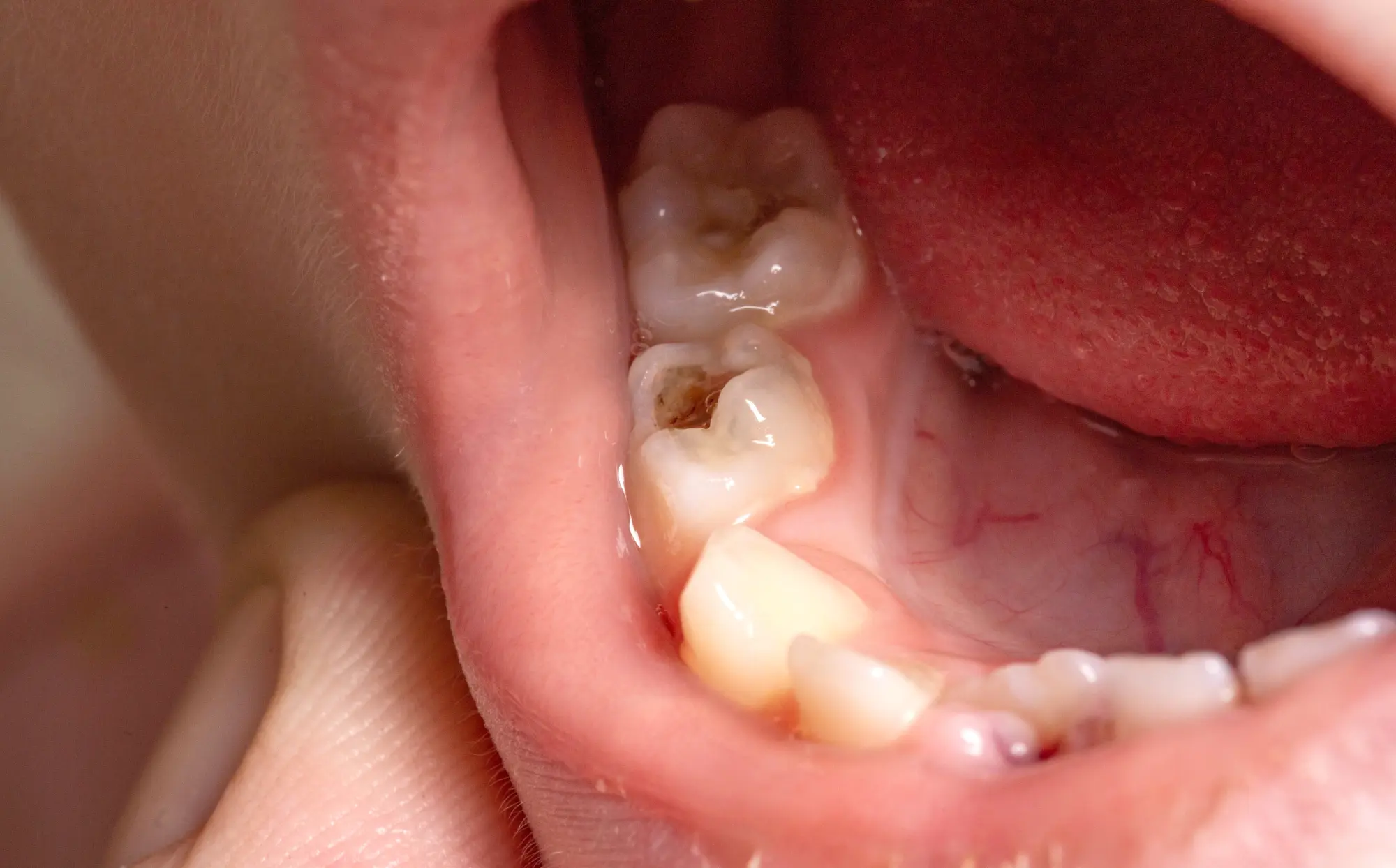
Cavities, also known as dental caries or tooth decay, are holes that develop in the teeth due to decay. They are caused by a combination of factors, including poor oral hygiene, frequent snacking, and consuming sugary drinks. Here are some key points to understand about cavities:
Understanding the nature of cavities is crucial in determining the urgency of treatment.
While not all cavities are emergencies, certain symptoms may indicate the need for immediate attention. Here are signs that your cavity might require urgent care:
If you experience any of these symptoms, it’s important to seek dental care promptly to prevent further complications.
The best way to prevent cavities from becoming emergencies is through proper dental care and regular check-ups. Here’s how you can maintain a healthy smile:
By adopting these habits, you can significantly reduce the risk of cavities and other dental issues.
When a cavity is detected, various treatment options are available depending on the severity. Here’s what you might expect:
Discussing these options with your dentist will help you choose the best course of action for your dental health.
Don’t wait until a cavity becomes a dental emergency. If you're in Shirley, MA or the surrounding areas, reach out to Nashoba Valley Dental for a comprehensive dental check-up. Dr. Matthew Annese and his team are dedicated to providing top-notch care to ensure your smile stays healthy and bright. Call us today at (978) 425-9088 to schedule your appointment and take the first step towards a healthier smile.
@ Nashoba Valley Dental 2020
Website by Wonderist Agency | Privacy Policy